There are few other human diseases so common and yet so enigmatic as cancer. For many years it was the ailment that was whispered about behind closed doors or cupped hands. Even to this day, the marathons we perform to aid in funding research and the ribbons we proudly adorn are a genuine effort to acknowledge cancer and bring it out into the open in the hopes we can not only foster awareness and improve outcomes but also, perhaps, remove some of the stigma of fear that has enveloped the word for so long.
There are many common causes of death. The top five listed by the CDC are:
- heart disease
- cancer
- chronic lower respiratory diseases
- stroke
- accidents
While all of these causes of death are frightening because the idea of death itself is frightening, I don’t think I’m wrong in saying that the diagnosis that literally causes your heart to skip several beats, the one that leaves your brain in a thick pea-souper foggy state of shock, the one that makes you feel the most helpless… is cancer. Why? Because unlike heart disease and stroke, we can’t undo damage that’s been done simply by exercising and eating better; unlike accidents we can’t just assume we’ll be the lucky ones; and chronic lower respiratory diseases like bronchitis and emphysema, though potentially deadly, are chronic illnesses with which one can still live. Though people have lived with tumors and even cancer unknowingly and haven’t died from them, we know better now than to play Russian Roulette with nature, and so we treat tumors with the assumption that any growth can and will turn malignant. But cancer is the one diagnosis that takes you by surprise, it’s the one you feel you can do so little about, and, even though death rates from cancer have plummeted over the last several decades, it’s still the one that feels most like a death sentence when you hear those words, “You have cancer.” It feels like we have so little control over whether we live or die.
Part of taking control is understanding the thing you’re afraid of. So in this blog, I’m going to teach you a bit of Cancer Pathology 101 so that this whole “cancer thing” is less of a mystery and more of a familiar foe.
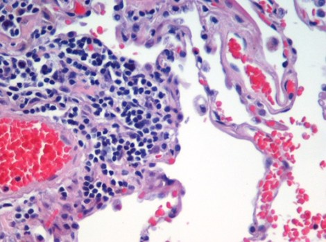
The word “pathology” is derived from the Greek words, “pathos-” meaning “experience” or “suffering” and “-logia” which translates as “the study of“. When people think of Pathology, most often they envision the subspecialty of Anatomic Pathology, in which a clinician or scientist uses histology to study a disease process. Histology, or the study of tissues, studies the microscopic anatomy of cells and tissues. The gold standard stain for observing the basic composition of a given tissue is the hematoxylin & eosin (H&E) stain. Hematoxylin stains the nuclei of cells blue, meanwhile eosin stains the cytoplasm and extracellular proteins like collagen pink.
Above you can see an H&E stain of lung tissue which is likely exhibiting some inflammation. The red cells are blood cells which stain heavily with eosin because they have no nuclei. Meanwhile, the cells surrounding the blood vessel at the left stain heavily with the blue hematoxylin. Image borrowed from here.
Okay, so that’s your basic stain, H&E. Many types of tumors can be identified and their malignancy assessed just with this simple stain. To rewind a second, you may be a little confused as to what the terms “benign,” “malignant,” and “metastatic” each mean. I’m sure you’ve heard them thrown around in conversation often enough: Aunt Mary’s tumor turned out to be benign so that’s a relief. A neighbor down the street was diagnosed with a malignant form of breast cancer and is now going through chemo. A woman at work you know has colon cancer that has metastisized so she’s receiving radiation. But if you’re like me prior to my studies in cancer, the lines between the terms seemed somewhat blurred. I mean, sure, “benign” was good– or, well, if not “good” then certainly “preferable”. “Malignant” was bad, and “metastases” was very bad.
To put it simply, each of these terms is an estimation of a tumor or growth’s ability to break through and actively invade other tissues. This invasion is usually what kills you, not the initial tumor itself. “Benign” means that the tumor appears unlikely to break free of its encapsulation and start wandering into neighboring tissues. This can still be bad if the tumor is placing pressure on and affecting the function of a nearby tissue. “Malignant” means that the tumor is showing signs of cancer, so that it is actively invading nearby or distant tissues or it has characteristics of cancer (usually in the shape/structure of individual cells making up the tumor, as well as characteristics of the tumor itself) which mean that it could eventually break free of its encapsulation and invade other tissues. “Metastasis” is the term used when a cancer has spread, not only to immediate neighboring tissue, but to more distant organs. So each of these terms estimates a tumor’s potential invasiveness. The more invasive the more dangerous the tumor.
Another term for a tumorous growth is “neoplasia” meaning “new formation“. A neoplasia can refer to any benign or malignant process. Malignant neoplasias, meaning that they have or may develop a tendency to invade nearby or distant tissues, can show a number of characteristics which can often be identified by H&E stains. These include:
- Pleomorphism, meaning “many forms,” in which sister cells within the tumor exhibit variability in the size and shape of their nuclei and overall shape– i.e., they can look very different from one another. Normally, cells of a given cell type look very similar to one another.
- Hyperchromasia, or hyper-colored, where the nuclei of cancer cells tend to be larger and overstain with hematoxylin (blue). Bigger, darkly-stained nuclei indicate increased metabolism of these cells, a feature of the rapid growth of tumors.
- Abnormal (or active) cell division. Some tissues continue to replace cell populations throughout a person’s lifetime, such as skin cells. On the other hand, other tissues may have very low or no levels of active cell proliferation. Sometimes evidence of cell division in H&E stains can be diagnostic of a tumor in such a tissue. Other times, you may also see more nuclei, two, three, etc., than the cell should normally have. Both of these can be signs of cancer.
- Bizarrely-shaped cells. Sometimes cancerous tumors can contain unusually large or malformed cells, sometimes referred to as “tumor giant cells”.
- Distinct patterns of tumor formation. Some tumors can form unique arrangements within themselves, like whirling patterns or rosettes (see the header image for this blog as an example). Sometimes these patterns can also form around blood vessels, especially since actively growing tumors need considerable blood supply.
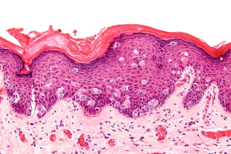
- Invasion. Tissues are divided into layers and nuclei, each of which usually show distinct boundaries between different cell types. When one cell type crosses that boundary into another, that can be indicative of malignancy (see image below).
- Metastases. This is the invasion of tumor cells into distant tissues. Normally, they must use the blood or lymphatic system to travel. This is why evidence of tumor invasion into blood vessels or nearby lymph nodes is so concerning. If you ever have a tumor, your surgeon may also collect a sample of nearby lymph nodes to biopsy as well.
In this image you can see a clear indication of an invasive cancer, in which you see large cells invading the epidermis of the skin of the breast. This is taken from a patient with Extramammary Paget’s Disease. Image borrowed from here.
So that’s the big thing about cancer: growth and invasion. It grows larger than its supposed to; it travels into tissues it’s not supposed to and disrupts how they function, which can of course kill you. And the longer a tumor grows, usually the harder it is to control its behavior. Initially, tumors start off looking like an overgrowth of whatever cell type initially did the growing. Over time, it can be harder and harder to determine what the cancer’s cell-type-of-origin was. The further this progresses, the harder it is to keep these cells encapsulated in the area they originated from. Eventually, they can slip through tissue boundaries and travel to nearby neighbors. If they manage to get into your blood stream or lymph nodes, they can travel to much more distant places, increasing their potential for deadliness and making it even harder to treat the condition.
The earlier a cancer is caught, the easier it usually is to treat and the better your chances for survival. So the moral of this story? For the types of cancers that are easily detectable, get your check-ups, folks. Get your recommended number of mammary scans, get your colonoscopies scheduled, and don’t wave off that new mole like it’s nothing to worry about. Be a proactive patient, because the best and easiest method for treating cancer is still, surprisingly, through surgical removal of the tumor. The longer you let it go, the more you may regret it.
Cancer is the #2 killer in the United States. Chances are quite good that you’ll get it. And though that thought may well scare the shit out of you right now, be proactive, get yourself routinely checked out, and don’t let that cancer be the last thing you do.


