Science Over a Cuppa

OCCASIONAL POSTS ON SCIENCY TOPICS

Main Menu

Skip to content
  • About Emily Casanova
  • Are You a Scientist?
  • The Usual Disclaimer
  • What’s the Story behind the Fossil in the Header?

Monthly Archives: January 2014

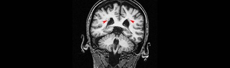
Heterotopias in the Brain: When Neurons Get a Little Lost

January 26, 2014by Emily Casanova 17 Comments

I’ve talked a little about heterotopias in the past although I haven’t focused on them considerably. But that’s about to change today because they are fascinating occurrences which happen occasionally […]

Read Article →

The Evolution of Genetic Evolvability

January 19, 2014by Emily Casanova 11 Comments

“The hypothesis that evolvability – the capacity to evolve by natural selection – is itself the object of natural selection is highly intriguing but remains controversial due in large part […]

Read Article →

The Elephant Shark Finally Has its Genome Sequenced

January 12, 2014by Emily Casanova Leave a comment

Scientists this month reported on the whole-genome sequencing of the cartilaginous fish, the elephant shark, the first complete analysis of any of the non-bony fish [1]. These fish are very […]

Read Article →

Review of the Recent Study, “Increased L1 Retrotransposition in the Neuronal Genome in Schizophrenia”

January 5, 2014by Emily Casanova Leave a comment

Now, for repeat readers, you probably know I have a professional interest in the topic of transposable elements. So it should come as no surprise that a recent article published […]

Read Article →

Post navigation

Neuroscientist, evolutionary biologist, biomedical scientist. I focus on clinical paleogenomics of conditions like autism, but also study connective tissue disorders. Science is my work, my passion, and my hobby. I also enjoy fossil and antique collecting as well as a bit of photography. I love a good strong black tea, knitting, and spending time with my family (both the human and furry varieties).

Contact Info:

scienceoveracuppa at gmail dot com

My ResearchGate Profile:

Website Traffic:

  • 465,537 hits

Archives

  • May 2025
  • September 2024
  • August 2024
  • July 2024
  • June 2024
  • May 2024
  • March 2024
  • November 2023
  • July 2023
  • February 2023
  • January 2023
  • October 2022
  • August 2022
  • February 2022
  • December 2021
  • July 2021
  • May 2021
  • February 2021
  • December 2020
  • November 2020
  • October 2020
  • September 2020
  • August 2020
  • July 2020
  • June 2020
  • March 2020
  • January 2020
  • December 2019
  • October 2019
  • August 2019
  • June 2019
  • May 2019
  • April 2019
  • January 2019
  • November 2018
  • October 2018
  • August 2018
  • June 2018
  • May 2018
  • March 2018
  • February 2018
  • January 2018
  • December 2017
  • October 2017
  • September 2017
  • August 2017
  • July 2017
  • June 2017
  • May 2017
  • April 2017
  • March 2017
  • February 2017
  • January 2017
  • December 2016
  • November 2016
  • October 2016
  • September 2016
  • August 2016
  • July 2016
  • June 2016
  • May 2016
  • April 2016
  • March 2016
  • February 2016
  • January 2016
  • December 2015
  • November 2015
  • October 2015
  • September 2015
  • August 2015
  • July 2015
  • June 2015
  • May 2015
  • April 2015
  • March 2015
  • February 2015
  • January 2015
  • December 2014
  • November 2014
  • October 2014
  • September 2014
  • August 2014
  • July 2014
  • June 2014
  • May 2014
  • April 2014
  • March 2014
  • February 2014
  • January 2014
  • December 2013
  • November 2013
  • October 2013
  • September 2013
  • August 2013
  • July 2013
  • June 2013
  • May 2013
  • April 2013
  • March 2013
  • February 2013
  • January 2013
  • December 2012

Recent Posts

  • The Molecular Basis of Punctuated Equilibria aka “Punkeek”
  • Major Breakthrough: A New Potential Biomarker for hEDS/HSD
  • Connecting with Your Inner Autistic Fish
  • Did Neandertals Have Autism? A Short Video
  • The Story of Us: Autism and Neanderthals?
Our latest research, click the image for the original paper

Enter your email address to follow this blog and receive notifications of new posts by email.

Join 557 other subscribers

Click Here & Find Me on Twitter:

"Never be so wedded to a theory that you find divorce unthinkable."
Blog at WordPress.com.
  • Subscribe Subscribed
    • Science Over a Cuppa
    • Join 472 other subscribers
    • Already have a WordPress.com account? Log in now.
    • Science Over a Cuppa
    • Subscribe Subscribed
    • Sign up
    • Log in
    • Report this content
    • View site in Reader
    • Manage subscriptions
    • Collapse this bar
 

Loading Comments...
 

You must be logged in to post a comment.