Since I’m going to be out of town on vacation for the next several weeks traveling over to England, my fiancé, Dr. Manuel Casanova, will be providing one or two guest posts to fill the SoaC void. As a recap for those who’ve forgotten, or for those who didn’t read his first guest post on my blog, here’s a bit about his background:
Manuel has his M.D. in Neurology, with extensive additional training and experience in neuropathology, especially of childhood conditions. From Manuel’s early training in childhood neuropathology, he developed a keen interest in autism spectrum conditions and has been hooked ever since. While he has had much clinical experience, he is no longer practicing and instead devotes his time fully to research. He is one of the preeminent researchers in the study of autism and has made notable contributions to the field, such as the study of minicolumnopathy in the condition, as well as the treatment of some of the symptoms of autism with low-frequency repetitive transcranial magnetic stimulation (rTMS). He is also well-known for his neuropathology work in the fields of schizophrenia and Alzheimer’s research, though the majority of his time is now devoted to autism. He has a popular blog called Cortical Chauvinism, so please click the link and take a look around his site. There’s loads of great information on autism.
And now, I present Dr. Manuel Casanova, writing about the ventricular system in preterm infants and autism.
Sometime in July an article appeared in the Journal of Pediatrics establishing an association between ventricular enlargement in low birth weight infants and autism [1]. I would like to expand on several of the points made by the authors as I believe that the same may provide insight into causative mechanisms to autism spectrum disorders (ASD). In this regard we have previously suggested that many conditions associated with autism (so-called syndromic autism) are the result of brain damage during fetal development. The responsible lesion, in genetically susceptible individuals, causes abnormalities in the way cells migrate from the area surrounding the cavities at the center of the brain to the cortex. For those wishing some background material as to brain abnormalities in autism, please see my previous blogs [2, 3].
The study by Movsas et al. in the Journal of Pediatrics is a secondary analysis of data derived from a longitudinal study (The Neonatal Brain Hemorrhage Study) that followed the outcome of 1,105 babies that weighed less than 4 pound and 7 ounces at birth (Pinto-Martin et al., 2011). Screening at age 16 years of roughly half of their original patient population (n = 623) revealed that roughly 19% of them complied with a broad definition of ASD. A fraction of these patients (n = 189) followed-up for diagnostic assessment at age 21 years revealing 14 cases with an autism spectrum disorder diagnosis. The estimate of ASD in this sample population, close to 7%, is several times higher than recent prevalence estimates for ASD by the Centers for Disease Control and Prevention (CDC).
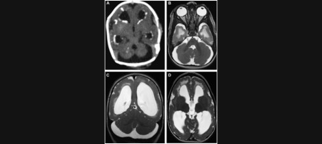
Figure: Neuroimaging of an extreme premature infant. The ventricles are dilated (ventriculomegaly) and there is diffuse cortical and cerebellar atrophy.
Approximately 3% of all new births fall in the range of low birth weights, defined as 2,000 grams or less. These low birth weight babies are at risk for motor abnormalities of which cerebral palsy is the most severe form. Neuropsychiatric findings (e.g., verbal comprehension, perceptual organization, distractability) may not be evident until approximately 3 years of age.
The initial longitudinal study by Pinto-Martin et al. (2011) underlined the importance of early screening of low birth weight infants for neurodevelopmental abnormalities as early intervention can substantially improve outcome. However, the study did not discern what medical complications or type of brain damage led to the ASD diagnosis. This was left to the follow-up study by Movsas et al. (2013).
The Movsas et al. (2013) study analyzed the cranial ultrasound of the above-described patient population. Three cranial ultrasounds (at 4 hours, 24 hours, and 7 days after birth) were obtained by aiming the probe through the anterior fontanelle (the soft spot at the front of the skull in a baby). The researchers concluded that expansion of the ventricular cavities was a predictor for subsequent development of ASD. Otherwise, isolated germinal matrix/intraventricular hemorrhages did not increase the risk for ASD. The findings are not specific to ASD as similar damage has been reported in other neuropsychiatric conditions such as attention deficit-hyperactivity disorder and obsessive compulsive disorders.
The brain exists within the confined space of the skull. Whenever brain tissue is damage and reabsorbed the cavities at the center of the brain (called ventricles) tend to dilate in order to compensate for the tissue deficit. It is almost as if the brain abhors a vacuum and decides to fill reabsorbed tissue by forming a cavity and/or expanding the ventricles. In this regard ventricular expansion remains as a tombstone of earlier brain damage.
Low birth weight infants that die shortly post-term show evidence of hemorrhages, re-absorption of the white matter surrounding the ventricles, and ventricular enlargement. Those that survive and are examined later on in life may show evidence of a malformed cerebral cortex (e.g., many small gyrifications, convolutions that take the form of mushrooms).
The germinal matrix provides the immature cells that will ultimately give rise to cortical neurons by migrating from their location surrounding the ventricle and into the cortical plate. According to the Movsas study germinal hemorrhages per se are not associated to ASD. However, lesions surrounding the ventricle that interfere with the migration of these cells on their way to the cortex did correlate to a diagnosis of ASD. The findings strengthen our thesis that a desynchronization of radially migrating neuroblasts (future cortical excitatory cells) from those that tangentially migrate to the cortex (future interneurons, inhibitory cells) provide the genesis of ASD.

