For as popular as the study of synapses and Shank3 have been in autism research, we are still fairly ignorant as to the roles this gene’s products might play in anything other than synapse formation. Right now, our team, in collaboration with a group at MIT, is attempting to investigate precisely this using a mouse model developed at the Institute. Currently I’m performing some simple histology on the mutant brains for the purposes of analysis.
Recently, I found an interesting article from way back in 2005 that reported a strong colocalization of the L-type voltage-gated calcium channel, CaV1.3, with Shank3 protein in rat brain [1]. Many articles, including our own recent publication in Frontiers, have stressed the involvement of abnormal calcium regulation in autism risk, so the colocalization of Shank3 with an important calcium channel seems potentially relevant and could explain propensity towards autism and seizures associated with this rare mutation [2]. In particular, point mutations in the gene CACNA1D, that codes for CaV1.3, have been noted in sporadic cases of autism. Furthermore, an animal model mimicking the mutation leads to excessive calcium influx into neurons, which effectively lowers the threshold for excitation increasing risk for seizure activity [3].
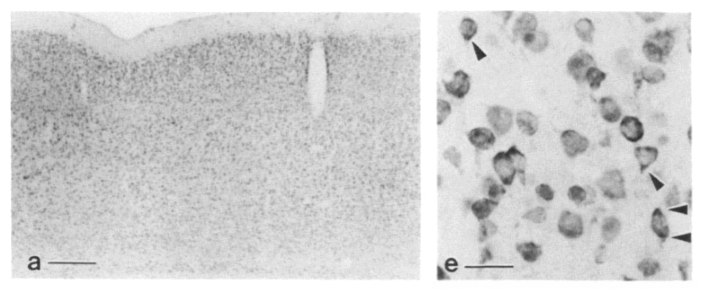
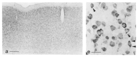
Much earlier work on CaV1.3 showed that this particular calcium channel is present within the cell body and proximal (nearby) dendrites of neurons in the neocortex (see image below), suggesting that Shank3 plays important roles in calcium regulation close to the heart of the cell [4]. Given it’s potential involvement in calcium regulation near and at the cell body, it raises the question whether Shank3 plays a role in neurogenesis. This, in part, is what our current small study is attempting to address through neuropathological techniques.
Image from Hell et al. (1993) that shows the location (in dark) of the calcium channel, CaV1.3, in neurons of the neocortex in rat.
Though there is sparse evidence available to answer this question, a few studies hint at the possibility that Shank3, aside from its roles at the synapse, could play more diverse roles in neuron development than is currently realized. For instance, a dissertation study by Bartels (2009) reported that the CaV1.3 channel is expressed in adult mouse within the subventricular zone, the seat of adult neurogenesis in the brain for the olfactory bulb. Another study by Deisseroth et al. found that CaV1.3 was expressed in actively proliferating cells (BrdU+) within the hippocampus and when CaV1.3 channel activity was upregulated (turned up), this led to an increase in the number of neurons being produced. Therefore, while it is uncertain whether Shank3 is definitely coupled with CaV1.3 in these instances, the work strongly suggests that it could be and that Shank3 may play an unacknowledged role in neurogenesis and early neuron development.
Mutations in Shank3 may do one of a number of things. They may lead to overexpression of all or some of SHANK3‘s gene products; they may lead to underexpression of the same; they may knock out some or all of its products; or they may knock out or impair functional portions of the protein. In any case, with SHANK3 mutations, it’s highly probable that normal function of the CaV1.3 calcium channel is likewise altered in humans with SHANK3 mutations such as is seen in some cases of autism. In the particular autism mouse model which our collaborators have been studying, the selected mutation appears to knock out all transcripts of the Shank3 gene in mouse. Interestingly, their Shank3 schizophrenia mouse model is only impaired in the production of certain transcripts, meanwhile others are spared.
It’s still too early to know whether Shank3 does or does not play some role in neurogenesis and early neuron maturation, but hopefully our current project will provide additional data on whether Shank3 performs more uses in the brain than is currently accepted. If it does, hopefully the techniques we’ve selected will be adequate to actually capture and measure the effects we’re looking for. But for that, only time and more work will tell…

Calcium channel processing is also dependent on the bioavailability of vitamin D3.